Zähne erhalten, statt frühzeitig entfernen

Wurzelbehandlung und Zahnerhalt in Baden

Eine Wurzelbehandlung klingt für viele zunächst beunruhigend – in der Praxis ist sie aber eine sehr effektive Methode, um einen stark geschädigten Zahn zu erhalten und Schmerzen dauerhaft zu verhindern. Wenn der Zahnnerv entzündet oder abgestorben ist, entfernt man das erkrankte Gewebe im Zahninneren, reinigt und desinfiziert die Wurzelkanäle und verschließt sie anschließend dicht.

Auf diese Weise kann der eigene Zahn in vielen Fällen noch viele Jahre im Mund bleiben, statt entfernt werden zu müssen. Dank moderner Betäubung und präziser Technik verläuft die Behandlung heute in der Regel gut verträglich und deutlich angenehmer, als viele Patientinnen und Patienten erwarten.

Eine Wurzelbehandlung (Endodontie) ist eine Therapie des Zahninneren. Sie wird notwendig, wenn sich der Zahnnerv entzündet oder abstirbt – meist durch tiefe Karies, Risse im Zahn oder einen Unfall.

Ohne Behandlung breitet sich die Entzündung bis in den Kieferknochen aus und kann starke Schmerzen, Abszesse oder sogar Zahnverlust verursachen.

Ziel der Wurzelbehandlung ist es, den betroffenen Zahn zu erhalten und dauerhaft zu stabilisieren.

Der Ablauf erfolgt in mehreren präzisen Behandlungsschritten:

  1. Diagnose & Anästhesie:
    Röntgenaufnahme zur Beurteilung der Wurzeln und örtliche Betäubung für eine angenehme Behandlung.
  2. Eröffnung des Zahnes:
    Zugang zum Zahninneren, um das entzündete oder abgestorbene Gewebe zu entfernen.
  3. Reinigung & Desinfektion:
    Die Wurzelkanäle werden sorgfältig erweitert, gereinigt und mit antibakteriellen Lösungen desinfiziert.
  4. Füllung der Wurzelkanäle:
    Die Kanäle werden dicht verschlossen, damit keine neuen Bakterien eindringen können.
  5. Provisorischer oder endgültiger Verschluss:
    Der Zahn wird stabil aufgebaut und für die weitere Versorgung vorbereitet.

Dank moderner Technik und schonender Lokalanästhesie verläuft die Behandlung heute weitgehend schmerzfrei.

Eventuelle Beschwerden nach der Behandlung sind meist mild und vorübergehend und lassen in der Regel innerhalb weniger Tage nach. Bei Bedarf können leichte Schmerzmittel helfen.

Nach einer erfolgreichen Wurzelbehandlung benötigt der Zahn häufig eine zusätzliche Stabilisierung, da er durch den Substanzverlust bruchanfälliger wird. Je nach Situation kommen folgende Optionen infrage:

  • Aufbaufüllung: bei geringer Schädigung der Zahnstruktur
  • Stiftaufbau: wenn viel Zahnsubstanz fehlt und ein stabiler Halt benötigt wird
  • Krone: die häufig empfohlene Versorgung, um den Zahn langfristig zu schützen und funktionell zu stärken
  • Teilkronen oder Inlays: je nach individueller Stabilität und Ästhetik

 Gemeinsam entscheiden wir, welche Lösung für Ihren behandelten Zahn am besten geeignet ist.

Füllungstherapie

Wenn ein Zahn repariert werden muss, stehen unterschiedliche Füllungsmaterialien zur Verfügung. Die Wahl hängt von der Größe der Füllung, der Belastung des Zahnes, ästhetischen Ansprüchen und nicht zuletzt vom Budget ab.

Mit 1. Jänner 2025 trat das von der EU aus Gründen des Umweltschutzes beschlossene Amalgamverbot in Kraft und steht daher als Füllungsmaterial nicht mehr zur Verfügung. Leider gibt es zurzeit noch kein neues Material, das in seinen Eigenschaften das Amalgam zu 100 % ersetzen kann.

Ihre optimale Füllung wählen wir gemeinsam anhand Ihrer individuellen Situation – damit Funktion und Aussehen bestmöglich erhalten bleiben. Wenn Sie Fragen haben, beraten wir Sie gerne persönlich. 

Füllungen aus Steinzement (Zinkphosphatzement)

Steinzement ist ein klassisches, grauweißes Material ( nicht zahnfarben )und daher optisch weniger ansprechend. Das Material wird nur im Backenzahnbereich angewandt.

Im Vergleich zu modernen Materialien hat Steinzement eine geringere Haftung am Zahn.

Diese Art der Füllung steht Ihnen uneingeschränkt als KASSENLEISTUNG zur Verfügung und ist seit Jahren erprobt, jedoch auf Sicht nicht dauerhaft haltbar.

Die Haltbarkeit beträgt maximal 2 Jahre.

Füllungen aus Glasionomerzement.

Diese Art der Füllung ist eine PRIVATLEISTUNG und muss extra honoriert werden. Die Kosten liegen unter denen für Kompositfüllungen.

Für Schwangere, stillende Mütter und Kinder bis 15 Jahre ist es jedoch wie bisher eine KASSENLEISTUNG und wird nicht extra verrechnet. BVA Versicherte erhalten diese Art der Füllung als Kassenleistung.

Glasionomerzement ist zahnfarben, jedoch weniger brillant und weniger farbstabil als Komposit. Für Seitenzähne oder Übergangsfüllungen ist er dennoch gut geeignet.

GIZ haftet chemisch am Zahn und gibt Fluorid ab, was Karies vorbeugen kann. Seine Abrasionsfestigkeit ist allerdings begrenzt – besonders bei stark kaubelasteten Zähnen. Er eignet sich gut für kleinere Defekte, Kinderzähne und als längerfristige Lösung.

Haltbarkeit maximal 2 Jahre.

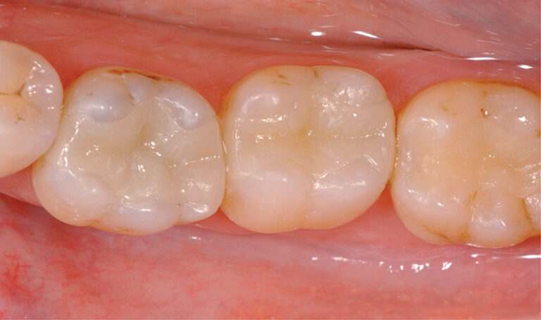
Füllungen aus Komposit.

Diese Art der Füllung, auch als weiße Füllung bekannt, ist eine dauerhaft haltbare, hochwertige Füllung.

Komposit bietet die beste Optik: Es ist in vielen Farbnuancen verfügbar und lässt sich nahezu unsichtbar an den natürlichen Zahn anpassen.

Durch moderne Haftsysteme und die schichtweise Verarbeitung ist Komposit sehr stabil. Bei korrekter Anwendung erreicht es eine hohe Haltbarkeit und eignet sich hervorragend auch für Backenzähne. Die Verarbeitung ist jedoch technisch anspruchsvoller und zeitaufwendiger.

Im Frontzahnbereich (von Eckzahn zu Eckzahn; 6 Zähne Oberkiefer und 6 Zähne Unterkiefer) stellen Kompositfüllungen eine Kassenleistung dar.

Komposit ist die kostenintensivste Variante, besonders im Seitenzahnbereich, und fällt unter die Privatleistungen . Die Rechnung kann bei der Krankenkassa eingereicht werden und 80% des Kosten einer Kassenfüllung werden refundiert.

Die hochwertige Ästhetik und Langlebigkeit (5-10 Jahre) rechtfertigen jedoch für viele Patientinnen und Patienten die Investition.

Bewegen Sie den Schieberegler im Bild, um den Unterschied zwischen Kompositfüllungen und Amalgamfüllungen zu entdecken.

Nahaufnahme einer Zahnreihe vor dem Einsatz von Kompositfüllungen Nahaufnahme einer Zahnreihe nach dem Einsatz von Kompositfüllungen. Die optisch unschönen alten Füllungen wurden durch farblich passende Füllungen ersetzt.
Foto: Dr. Arnd Peschke, Ivoclar Vivadent AG, Liechtenstein