Schonende Aufhellung in der Ordination

Zahnbleaching – professionelle Zahnaufhellung

Viele Patientinnen und Patienten wünschen sich ein helleres, frisches Lächeln. Helle Zähne lassen Ihr Gesicht jünger und vitaler erscheinen. Im Laufe der Jahr verändern jedoch selbst gesunde Zähne häufig ihre Farbe.

Professionelles Bleaching bietet eine sichere Möglichkeit, diese Verfärbungen gezielt zu reduzieren und Ihre natürliche Zahnfarbe sichtbar aufzuhellen- schonend, effektiv und unter zahnärztlicher Aufsicht.

Das Zahnbleachingverfahren ermöglicht das Aufhellen von Zähnen um bis zu 4 Farbnuancen.
Die Behandlung findet am Zahnarztsessel statt. Die Wirkung des Bleichgels wird durch eine spezielle Lichtlampe verstärkt. Somit kann die Behandlungszeit verkürzt und die Zähne geschont werden.

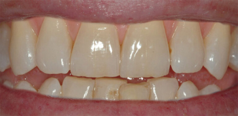
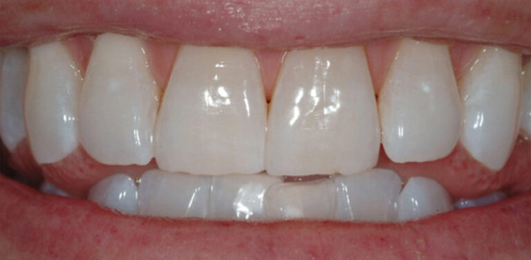
Bewegen Sie den Schieberegler im Bild, um die Unterschiede davor/danach zu sehen.

Nahaufnahme von Zähnen, bevor eine Zahnaufhellung mittels Bleaching erfolgt ist. Nahaufnahme von Zähnen, nachdem eine Zahnaufhellung mittels Bleaching erfolgt ist.

Meist sind der Konsum von Nahrungs- und Genussmittel wie Tee, Kaffee, Rotwein oder Tabak die Ursache von Zahnverfärbungen.
Aber auch die Einnahme von speziellen Medikamenten oder mangelnde Mundhygiene können zu dunklen Zähnen führen.

Die beiden Wirkstoffe in Bleichgels ( Wasserstoffperoxid oder Carbamidperoxid) dringen in den Zahnschmelz ein und verändern die Farbmoleküle im Zahn.
Durch diese chemische Reaktion werden die Verfärbungen farblos.
Die Zahnsubstanz selbst wird nicht angegriffen, sondern lediglich aufgehellt.
Das Ergebnis: ein sichtbar helleres, frischeres Lächeln.

Bei fachgerechter Durchführung in der Zahnarztpraxis ist Bleaching sicher. Der Zahnschmelz wird nicht angegriffen, und das Zahnfleisch wird geschützt.

Zunächst erfolgt eine gründliche Untersuchung, um sicher zu stellen, dass Ihre Zähne und Ihr Zahnfleisch gesund sind. danach wird das passende Verfahren gewählt.

Wir unterscheiden zwischen dem Office- Bleaching: hier findet der Prozess in der Ordination statt. Nach 1,5 Stunden verlassen Sie mit deutlich helleren Zähnen die Ordination. Beim Home- Bleaching ( Schienentherapie für zu Hause) werden individuelle Bleachingschienen angefertigt, die als Träger für das Bleichgel fungieren. Mehrere Stunden pro Tag oder Nacht werden die Schienen über 10-14 Tage getragen.

Als drittes Verfahren bieten wir das Internes-Bleaching wurzelbehandelter Zähne an.
Dabei wird ein spezielles Bleachingprodukt im Inneren des Zahnes platziert und nach wenigen Tagen hellt sich der dunkle Zahn wieder auf.

Wir beraten Sie gerne welche Methode für Sie geeignet ist.

In der Regel 1–3 Jahre – abhängig von Ernährung, Mundhygiene und Gewohnheiten wie Kaffee- oder Teekonsum.

Vorübergehende Empfindlichkeiten können auftreten, klingen aber meist rasch ( 24 Stunden) wieder ab. Wir beraten Sie gerne, wie sich diese minimieren lassen.

Grundsätzlich alle Patienten mit gesunden Zähnen und Zahnfleisch. Vor jeder Aufhellung führen wir eine Kontrolle und professionelle Reinigung durch.

Nein. Zahnersatz verändert seine Farbe nicht. Bei Bedarf kann nach dem Bleaching eine Anpassung der Restaurationen erfolgen.

Das Ergebnis ist individuell – meist können 4 Helligkeitsstufen erreicht werden.